Dark gums can be a cause of concern for many people. It can make a person feel self-conscious about their smile and can lead to a lack of confidence. While having dark gums is not necessarily a sign of a serious health issue, it is important to understand the causes, treatments, and prevention methods. In this post, we will delve into the factors that cause dark gums such as genetics, smoking, poor dental hygiene, and certain medications. We will also discuss the various treatments available to lighten the color of your gums and improve oral health. Additionally, we will give you tips on how to prevent dark gums from occurring in the first place. By the end of this post, you will have a thorough understanding of dark gums and how to maintain healthy and bright gums.
Introduction to dark gums and its impact on oral health
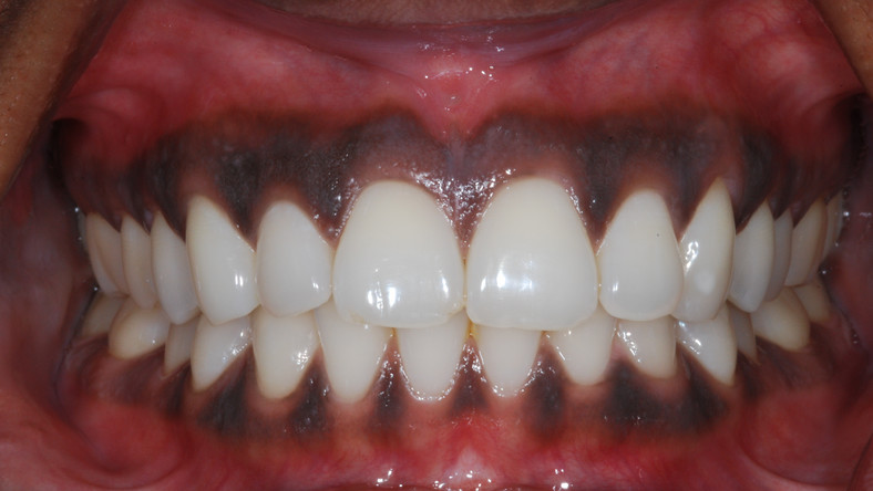
Dark gums, also known as hyperpigmentation of the gums, is a condition that affects the pigmentation of gum tissue, causing it to appear darker than the normal pink color. While dark gums may not be a direct indicator of poor oral health, understanding its causes, treatments, and prevention is crucial for maintaining overall oral well-being.
The impact of dark gums on oral health extends beyond aesthetics. Many individuals with dark gums may feel self-conscious about their smile, leading to a negative impact on their self-esteem. Additionally, dark gums can make it difficult to detect signs of gum disease or other oral health issues, as the darker color can mask redness or inflammation.
Several factors contribute to the development of dark gums. One common cause is genetics, as certain ethnicities and races are more prone to hyperpigmentation. Hormonal changes, such as those occurring during pregnancy or due to hormonal imbalances, can also trigger darkening of the gums. Other factors include smoking, certain medications, excessive melanin production, and poor oral hygiene.
Common causes of dark gums
Dark gums can be a cause of concern for many individuals, as they can affect the overall aesthetics of the smile. However, it’s important to understand that dark gums are not necessarily a sign of poor oral health. There are several common causes that can contribute to the darkening of gums.
One of the most common causes of dark gums is melanin pigmentation. Melanin is the natural pigment responsible for the color of our skin, hair, and even gums. Individuals with higher levels of melanin in their bodies are more likely to have naturally darker gums. This is more prevalent in people with African, Asian, or Middle Eastern descent.
Another common cause is smoking. The chemicals present in tobacco can cause discoloration of the gums over time. Smoking restricts blood flow to the gums, leading to a darkening effect. Additionally, the heat from smoking can further damage the gum tissue, causing it to darken.
The potential risks and complications associated with dark gums
While dark gums may not typically be a cause for alarm, it’s important to understand the potential risks and complications that can be associated with them. Dark gums, also known as melanin hyperpigmentation, can occur due to various factors such as genetics, certain medications, smoking, hormonal changes, or even excessive sun exposure.
One of the potential risks of having dark gums is the impact it can have on an individual’s self-esteem and confidence. Dark gums may cause some individuals to feel self-conscious about their smiles, leading to a decrease in their social interactions or reluctance to smile openly. This can have a negative impact on their overall quality of life and emotional well-being.
In addition to the psychological effects, dark gums may also indicate underlying health issues. For instance, certain systemic conditions such as Addison’s disease or Peutz-Jeghers syndrome can lead to hyperpigmentation of the gums. Therefore, it is crucial to consult with a healthcare professional if you notice any sudden or significant changes in the color of your gums.
Treatment options for dark gums
When it comes to treating dark gums, there are several options available depending on the underlying cause and severity of the condition. It is essential to consult with a qualified dental professional who can evaluate your specific case and recommend the most suitable treatment approach.
One common treatment option is laser therapy. This procedure involves using a dental laser to remove excess pigmentation or melanin from the gum tissues, resulting in a more even and lighter gum color. Laser therapy is a minimally invasive and precise technique that offers quick results and minimal discomfort.
Another treatment option is gum depigmentation. This procedure involves manually removing the outer layer of the gums to eliminate the excess pigmentation and reveal a lighter shade of gum tissue underneath. Gum depigmentation is typically performed using a scalpel or laser, and local anesthesia is administered to ensure patient comfort.
Home remedies and natural methods to lighten dark gums
While dark gums can be a cause for concern and affect one’s self-confidence, there are various home remedies and natural methods that can help lighten them. It’s important to note that these remedies may not provide immediate results and should be done consistently over time for noticeable changes. Here are some effective ways to naturally lighten dark gums:
Oil pulling: This ancient Ayurvedic technique involves swishing oil, such as coconut oil or sesame oil, in your mouth for 15-20 minutes. Oil pulling helps remove toxins and bacteria, promoting oral health and potentially reducing gum discoloration.
Lemon juice: The natural bleaching properties of lemon juice can be utilized to lighten dark gums. Dilute fresh lemon juice with water and gently massage it onto your gums using a soft toothbrush. Rinse your mouth thoroughly afterward to avoid acidity damage to tooth enamel.
Prevention tips to keep gums healthy and avoid darkening
Taking proactive steps to prevent gum darkening is crucial for maintaining overall oral health. Here are some effective prevention tips that can help keep your gums healthy and prevent them from darkening:
Maintain a thorough oral hygiene routine: Brush your teeth at least twice a day using a soft-bristled toothbrush and fluoride toothpaste. Don’t forget to gently brush your gums to remove any plaque or bacteria that may accumulate.
Floss daily: Regular flossing helps remove plaque and debris from between your teeth and along the gumline, preventing the buildup of harmful bacteria and reducing the risk of gum inflammation and discoloration.
conclusion,
dark gums can be a source of concern for individuals seeking optimal oral health and aesthetics. While the natural pigmentation of gums varies among individuals, certain factors such as genetics, ethnicity, and lifestyle choices can contribute to the darkening of gum tissue. It is essential for individuals to maintain good oral hygiene practices, including regular brushing, flossing, and professional dental cleanings, to prevent or minimize discoloration. Additionally, consulting with a dentist can help identify any underlying issues or recommend appropriate treatments to address dark gums. Embracing a holistic approach to oral care and seeking professional guidance can contribute to healthier and more aesthetically pleasing gums, promoting overall dental well-being.
